Volvemos con otro caso de invisalign. Hoy te vamos a contar como nuestro paciente consiguió corregir la dentadura en tan solo un año pero antes…
¿Aún no sabes lo que es invisalign?
Invisalign es un tipo de ortodoncia invisible que permite corregir la sonrisa de forma cómoda y eficaz. Se trata de un sistema de ortodoncia basado en alineadores invisibles que se pueden poner y quitar para facilitar la limpieza dental. Cada paciente tendrá una secuencia personalizada de alineadores que van desde la dentadura inicial que presenta el paciente hasta la dentadura objetivo que se quiere conseguir una vez finalizada la ortodoncia. Cada cierto tiempo se cambian los alineadores para que los dientes se vayan moviendo progresivamente hasta llegar a la última férula invisible.
Se trata de un tipo de ortodoncia muy popular entre los adultos, principalmente por su ventaja estética, ya que a simple vista no se nota que la persona lleva aparato. También es común en adolescentes por esta misma razón, además de en niños gracias al tratamiento de Invisalign first.
Si quieres informarte sobre si este sistema de ortodoncia es para ti pide cita en nuestra clínica dental y te ayudaremos. Además contamos con el escáner iTero, un escáner intraoral con el que podremos mostrarte resultados en tiempo real de cómo quedaría tu sonrisa si se lleva a cabo el tratamiento invisalign.
Pide tu cita ya y consigue la primera consulta gratis en la clínica Peláez y Blanco.
Tratamiento Invisalign en 1 año: Antes y Después



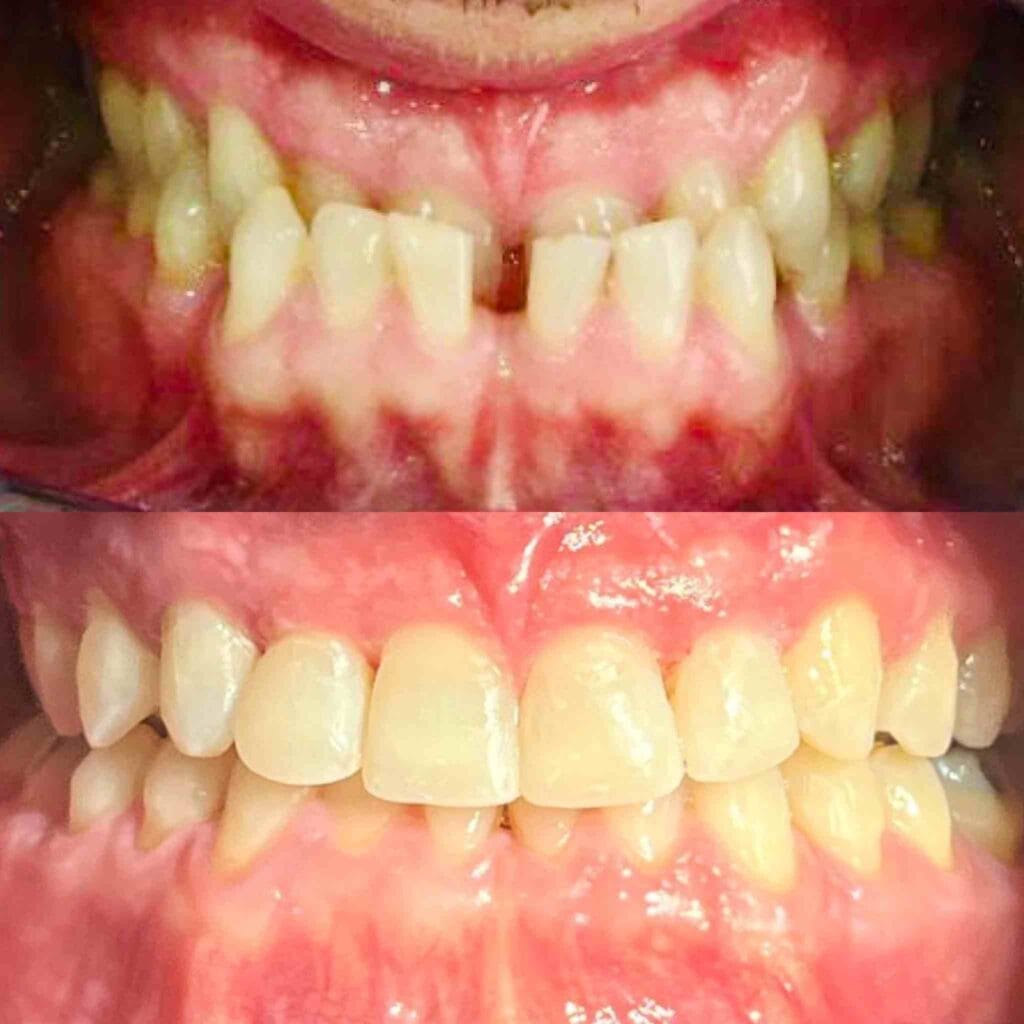
Dentadura antes de Invisalign
Cuando el paciente acudió a nuestra clínica dental por primera vez, presentaba un caso de desgaste dentario significativo debido a una oclusión inicial incorrecta. La dentadura inferior sobresalía de la dentadura superior, lo que provocaba una disposición desalineada de los dientes. A medida que la dentadura se fue formando de forma errónea algunos dientes se movieron para dejar espacio a otros, lo que consiguió agravar más el problema. La oclusión inicial desalineada y la discrepancia en la mordida habían desencadenado un desgaste progresivo en los dientes, comprometiendo tanto su funcionalidad como su estética.



Invisalign: Solución a la malformación dental
Para abordar la mala alineación dental y la disposición incorrecta de la dentadura inferior sobre la superior, se propuso al paciente el tratamiento con Invisalign. Gracias a este sistema de ortodoncia invisible se diseñó un plan personalizado para corregir gradualmente la posición de los dientes y restablecer una oclusión adecuada. El paciente siguió el tratamiento de manera constante y en tan solo un año se logró una notable mejoría en la alineación dental, llegando en ese momento a la finalización del proceso de ortodoncia. Invisalign permitió corregir la disposición incorrecta de la dentadura, devolviendo la armonía a la sonrisa del paciente y mejorando su funcionalidad bucal de manera eficiente.
Solución al desgaste dental con composite
Una vez corregida la mala alineación dental, se abordó el problema del desgaste dental mediante la utilización de restauraciones de composite. En una sola sesión, sin necesidad de anestesia, se sellaron y reconstruyeron los dientes desgastados. El composite se aplicó cuidadosamente sobre las áreas desgastadas, restaurando la forma y la función de los dientes. Este proceso no solo mejoró la apariencia estética de la sonrisa del paciente, sino que actúa como capa protectora de los dientes desgastados ante futuros daños. El paciente pudo disfrutar de los resultados inmediatos y retomar su rutina diaria sin ninguna molestia adicional.
Conclusiones sobre el caso
En conclusión, mediante la combinación del tratamiento con Invisalign y la aplicación de restauraciones de composite, logramos solucionar de manera efectiva tanto la mala alineación dental como el desgaste dentario.
La doctora Rebeca Blanco cuenta con más de 500 casos de Invisalign tratados en la Clínica Peláez y Blanco. Esta experiencia junto con los materiales vanguardistas e innovadores de nuestra clínica nos dan las herramientas necesarias para ofrecer resultados satisfactorios.

Si estás buscando una solución para mejorar tu sonrisa, te invitamos a visitar nuestra clínica para que podamos evaluar tu caso de manera personalizada. ¡Ven y descubre cómo podemos transformar tu sonrisa y brindarte el cuidado dental que mereces!